
Xray Anatomy
MEDIWARE CY LTD
4.3
Detalles de la Versión
| País del Editor | MX |
| Fecha de Lanzamiento en el País | 2013-04-29 |
| Categorías | Medical, Education |
| Países / Regiones | MX |
| Sitio Web del Desarrollador | MEDIWARE CY LTD |
| URL de Soporte | MEDIWARE CY LTD |
| Clasificación de Contenido | 17+ |
From the creators of the #1 CT Anatomy app.
One Subscription, All Platforms – Use the app on Mac, iPhone, and iPad with a single subscription
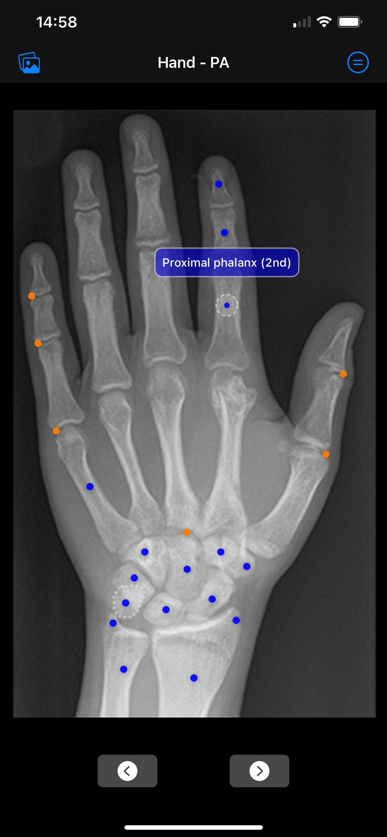
Xray Anatomy for Mac is a desktop-optimized educational tool that helps you explore commonly viewed radiographic anatomy.
Designed with clarity, speed, and ease of use in mind — ideal for classroom, exam prep, or general anatomical reference.
--------------------------
WHAT’S INCLUDED:
• The most frequently used radiographic projections
• Accurate, high-resolution X-ray images
• Color-coded anatomical structure labeling
• Detailed descriptions for every radiograph included
--------------------------
FEATURES:
• Multilingual support: English, Spanish and Chinese nomenclature
• QuizMe™ mode to challenge and reinforce your knowledge
• Clean, responsive interface optimized for both iPhone and iPad
--------------------------
Whether you’re a student, educator, or anatomy enthusiast, Xray Anatomy is a clear and convenient way to learn about radiographic anatomy — right on your Mac.
--------------------------
*** Yearly Subscription ***
• Unlock all Radiographs
• Unlock Quiz Mode
• Unlock Search
Payment will be charged to iTunes Account at confirmation of purchase
Account will be charged for renewal within 24-hours prior to the end of the current period, and identify the cost of the renewal
Subscriptions may be managed by the user and auto-renewal may be turned off by going to the user’s Account Settings after purchase
Any unused portion of a free trial period, if offered, will be forfeited when the user purchases a subscription to that publication, where applicable
Terms and Conditions: https://www.apple.com/legal/internet-services/itunes/dev/stdeula/
Privacy Policy: www.mediware.cy/privacy
Calificación Promedio
43
Desglose de Calificaciones
Reseñas Destacadas
Capturas de Pantalla
AD
AD
Aplicaciones Populares































